DOI: 10.25690/VETPAT.2022.98.44.004
УДК: 619.636
УДК: 619.636
Ключевые слова: этиология, патогенез, парвовирусный энтерит, кошка, собака, диагностика,
вирус и его штаммы, макро- и микропрепараты, профилактика.
вирус и его штаммы, макро- и микропрепараты, профилактика.
Резюме: Инфекционные заболевания мелких домашних животных всё чаще стали регистрироваться и распространяться в популяциях кошек и собак. Угрозы возникновения парвовирусного энтерита собак и кошек (панлейкопения) на урбанизированных территориях, в связи с ростом числа безнадзорных животных, определяют важность контроля за распространением данного заболевания среди животных со стороны ветеринарного сообщества и коммунальных служб. Парвовирусный энтерит – широко распространённое и контагиозное заболевание (преимущественно молодняка) с высокой летальностью (до 100 %). Так, в настоящей статье представлено описание возбудителя инфекционного заболевания парвовирусного энтерита собак и кошек (панлейкопения), современной эпизоотической ситуации по заболеванию в мире, пути передачи, патогенез и клинические признаки, а также способы диагностики парвовирусного энтерита собак и кошек (панлейкопения) и меры контроля и профилактики распространенияданной инфекционной патологии. Материалы, представленные в статье, имеют хорошую иллюстрацию, что помогает более полному восприятию изложенных данных. Данная статья будет востребована в учебном процессе при изучении парвовирусного энтерита собак и кошек (панлейкопения) и в среде практикующих ветеринарных врачей.
Парвовирусный энтерит – одно из тяжелейших вирусных заболеваний собак и кошек, поражающее в основном молодых животных. Наиболее восприимчивы котята, возрастом от 2,5 до 6 мес. и щенки от 8 до 16 недель. С момента своего появления в 1978 году (Carmichael, 2005) парвовирусный энтерит собак был и остаётся распространённым заболеванием и важной причиной заболеваемости и смертности молодых собак. Продолжающаяся заболеваемость парвовирусным энтеритом частично объясняется способностью вируса «изобретать заново» себя и превратиться в новые, более вирулентные и устойчивые подвиды (мутировать) [1–6].
Считается, хотя это до конца не установлено, что парвовирус кошек (панлейкопения кошек) является генетическим прародителем парвовируса собак, и передался последним именно от кошек.
Считается, хотя это до конца не установлено, что парвовирус кошек (панлейкопения кошек) является генетическим прародителем парвовируса собак, и передался последним именно от кошек.
Описание вируса
Canine / Feline parvovirus (CPV / FPV)
Семейство: Parvoviridae
Род: Protoparvovirus
Вид: Carnivore protoparvovirus 1
Вид вирусной частицы парвовируса и его характеристика представлены на рисунке 1.
Основные характеристики вирусной частицы:
Семейство: Parvoviridae
Род: Protoparvovirus
Вид: Carnivore protoparvovirus 1
Вид вирусной частицы парвовируса и его характеристика представлены на рисунке 1.
Основные характеристики вирусной частицы:
- малый размер
- без суперкапсида
- ssDNA (одноцепочечная ДНК)
- икосаэдральная симметрия
- репликация в ядрах быстро делящихся клеток (образует включения в ядрах)
- гемоагглютиническая активность
- устойчив к большинству дезинфектантов и бытовых моющих средств
- сохраняется в помещениях до 2 месяцев, на открытом воздухе без попадания солнечных лучей – до нескольких лет
Рис. 1. Строение парвовируса
Эпидемиология
Выявлено 3 штамма вируса: CPV2a, CPV2b и CPV2c. Возбудитель был изолирован в 1978 году, и данные показали, что это был новый вид рода Parvoviridae. Впоследствии этот вирус был назван CPV-2. Из-за отсутствия иммунитета у собак вирус быстро распространился, и к 1980 году стало известно, что он стал широко распространённым во всем мире.
Точное происхождение и эволюция CPV-2 всё ещё остается дискуссионным вопросом. В некоторых отчётах было обнаружено, что он тесно связан с вирусом панлейкопении кошек, и что CPV-2, возможно, произошёл от этого вируса. Другое исследование предполагает, что CPV-2 произошёл от антигенно схожего предка – дикого плотоядного животного.
Первоначально инфекция приводила к высокой заболеваемости и смертности среди восприимчивых собак, но после внедрения вакцин вспышки были ограничены невакцинированными или неправильно вакцинированными животными и приютами. В 1980-х годах появился новый штамм CPV-2, получивший название CPV-2a. Вирус снова быстро мутировал, и в 1984 году появился новый штамм CPV-2b. За последнее десятилетие появился новый штамм CPV-2c (рис. 2). Впервые об этом штамме было сообщено в Италии в 2000 году, а вскоре появились отчёты о заражении им во Вьетнаме, Испании, США, Южной Америке, Португалии, Германии и Великобритании. Этот штамм считается очень вирулентным с высокой заболеваемостью и быстрой смертью.
Вирус панлейкопении кошек (FPV) также распространён во всех странах мира, вызывая высоко контагиозное заболевание, поражающее особенно тяжело котят в возрасте до 3 месяцев. Вирус чрезвычайно устойчив и может сохраняться в среде (если защищён органическими материалами) при комнатной температуре до 1 года.
Не выявлено специфической предрасположенности к данному возбудителю в зависимости от породы кошек. В азиатском регионе штаммы CPV являются причиной заболевания панлейкопенией у кошек, соперничая и зачастую вытесняя FPV [7–13].
Точное происхождение и эволюция CPV-2 всё ещё остается дискуссионным вопросом. В некоторых отчётах было обнаружено, что он тесно связан с вирусом панлейкопении кошек, и что CPV-2, возможно, произошёл от этого вируса. Другое исследование предполагает, что CPV-2 произошёл от антигенно схожего предка – дикого плотоядного животного.
Первоначально инфекция приводила к высокой заболеваемости и смертности среди восприимчивых собак, но после внедрения вакцин вспышки были ограничены невакцинированными или неправильно вакцинированными животными и приютами. В 1980-х годах появился новый штамм CPV-2, получивший название CPV-2a. Вирус снова быстро мутировал, и в 1984 году появился новый штамм CPV-2b. За последнее десятилетие появился новый штамм CPV-2c (рис. 2). Впервые об этом штамме было сообщено в Италии в 2000 году, а вскоре появились отчёты о заражении им во Вьетнаме, Испании, США, Южной Америке, Португалии, Германии и Великобритании. Этот штамм считается очень вирулентным с высокой заболеваемостью и быстрой смертью.
Вирус панлейкопении кошек (FPV) также распространён во всех странах мира, вызывая высоко контагиозное заболевание, поражающее особенно тяжело котят в возрасте до 3 месяцев. Вирус чрезвычайно устойчив и может сохраняться в среде (если защищён органическими материалами) при комнатной температуре до 1 года.
Не выявлено специфической предрасположенности к данному возбудителю в зависимости от породы кошек. В азиатском регионе штаммы CPV являются причиной заболевания панлейкопенией у кошек, соперничая и зачастую вытесняя FPV [7–13].
Рис. 2. География регистрации штаммов вируса: оранжевый – все три; зелёный – два из трёх; желтый – один из трёх (Carla Miranda and Gertrude Thompson, 2016)
Этиология и пути передачи
Возбудитель заболевания (парвовирусного энтерита собак) передаётся, в основном: фекально-орально (не исключая инвентарь: миски, лотки, уборочный инвентарь). Единственный метод борьбы: строжайший карантин и вакцинация (входит в комплексную вакцину: DHPPi).
Больное парвовирусным энтеритом животное выделяет вирусные частицы вместе с фекалиями уже на 4-5 день после заражения и ещё до проявления характерных симптомов заболевания (продромальный период). Кроме того, выделение продолжается ещё в течение примерно 10 дней после исчезновения клинических симптомов.
Вирус панлейкопении близок к вирусному энтериту норок и парвовирусу собак, а тип II делает его опасным не только для котят, но и для норок, енотов. В противоположность, штаммы парвовирусного энтерита собак (CPV-2a, -2b, -2c) могут вызывать подобные панлейкопении заболевания у домашних и более крупных кошек.
Больные панлейкопенией котята выделяют вирусные частицы вместе со всеми физиологическими жидкостями организма в манифестный период (разгар болезни) и до 6 недель в период после исчезновения клинических симптомов заболевания.
Типичные пути передачи: фекальнооральный, ороназальный (аэрозольный).
Оба вируса прекрасно переносятся через инвентарь, обувь, одежду и даже бытовую пыль [14, 15].
Больное парвовирусным энтеритом животное выделяет вирусные частицы вместе с фекалиями уже на 4-5 день после заражения и ещё до проявления характерных симптомов заболевания (продромальный период). Кроме того, выделение продолжается ещё в течение примерно 10 дней после исчезновения клинических симптомов.
Вирус панлейкопении близок к вирусному энтериту норок и парвовирусу собак, а тип II делает его опасным не только для котят, но и для норок, енотов. В противоположность, штаммы парвовирусного энтерита собак (CPV-2a, -2b, -2c) могут вызывать подобные панлейкопении заболевания у домашних и более крупных кошек.
Больные панлейкопенией котята выделяют вирусные частицы вместе со всеми физиологическими жидкостями организма в манифестный период (разгар болезни) и до 6 недель в период после исчезновения клинических симптомов заболевания.
Типичные пути передачи: фекальнооральный, ороназальный (аэрозольный).
Оба вируса прекрасно переносятся через инвентарь, обувь, одежду и даже бытовую пыль [14, 15].
Патогенез
Инфекция (CPV) попадает в организм через ротовую или носовую полость при контакте с заражёнными фекалиями или при контакте с заражённым инвентарём.
Первичная репликация вируса происходит в лимфоидной ткани ротоглотки, системное заболевание развивается при гематогенной диссеминации.
Вирус преимущественно заражает быстро делящиеся клетки крипт тощей кишки, лимфоидной ткани и костный мозг. Разрушение клеток крипт кишечника вызывает некроз эпителиальных клеток тощей кишки, атрофию ворсинок кишечника, уменьшение площади абсорбции и нарушение функции кишечного барьера, вызывая транслокацию условно патогенных бактерий и бактериемию.
Лимфопения и нейтропения – вторичные признаки при разрушении предшественников клеток гематопоэза в костном мозге и вторичных лимфоидных тканях (тимус, лимфатические узлы), и в дальнейшем усиливаются из-за возрастающей системной потребности в лейкоцитах.
Внутриутробное инфицирование или заболевание щенков, младше 8-недельного возраста, рождённых от невакцинированных (или без приобретённого иммунитета) сук, может приводить к инфекции или некрозу миокарда, острому миокардиту. Миокардит, как сердечно-лёгочная недостаточность или отсроченная прогрессирующая сердечная недостаточность, может обнаруживаться как вместе с симптомами энтерита, так и без такового.
FPV инфицирует и разрушает костный мозг, эпителиальные клетки тощей кишки, лимфоидной ткани, а у очень маленьких пациентов – клетки мозжечка и сетчатки глаз.
У беременных самок может преодолевать трансплацентарный барьер, заражая плоды, что приводит к эмбриональной резорбции, мумификации, абортам или мертворождению. Кроме того, инфекция плодов в перинатальном периоде может вызывать разрушение зародышевого эпителия мозжечка, вызывая его гипоплазию, раскоординацию движений, тремор конечностей.
Колостральный иммунитет у рождённых от переболевших / вакцинированных матерей сохраняется до 5-6 недель.
Стресс, начало прикорма (является следствием уменьшения поступления иммуноглобулинов с молоком матери, в связи со снижением объёма его потребления), скудный рацион ведут к снижению колострального иммунитета и повышению воcприимчивости к вирусу.
Сопутствующие заболевания: заражение гельминтами, кишечные инфекции (патогены: клостридии, кампилобактерии, сальмонелла, гиардии, коронавирус) – ухудшают течение заболевания.
Особенности CPV: неразвязанные кобели более восприимчивы к вирусу, чем неразвязанные суки (для щенков старше 6 мес.) [16].
Первичная репликация вируса происходит в лимфоидной ткани ротоглотки, системное заболевание развивается при гематогенной диссеминации.
Вирус преимущественно заражает быстро делящиеся клетки крипт тощей кишки, лимфоидной ткани и костный мозг. Разрушение клеток крипт кишечника вызывает некроз эпителиальных клеток тощей кишки, атрофию ворсинок кишечника, уменьшение площади абсорбции и нарушение функции кишечного барьера, вызывая транслокацию условно патогенных бактерий и бактериемию.
Лимфопения и нейтропения – вторичные признаки при разрушении предшественников клеток гематопоэза в костном мозге и вторичных лимфоидных тканях (тимус, лимфатические узлы), и в дальнейшем усиливаются из-за возрастающей системной потребности в лейкоцитах.
Внутриутробное инфицирование или заболевание щенков, младше 8-недельного возраста, рождённых от невакцинированных (или без приобретённого иммунитета) сук, может приводить к инфекции или некрозу миокарда, острому миокардиту. Миокардит, как сердечно-лёгочная недостаточность или отсроченная прогрессирующая сердечная недостаточность, может обнаруживаться как вместе с симптомами энтерита, так и без такового.
FPV инфицирует и разрушает костный мозг, эпителиальные клетки тощей кишки, лимфоидной ткани, а у очень маленьких пациентов – клетки мозжечка и сетчатки глаз.
У беременных самок может преодолевать трансплацентарный барьер, заражая плоды, что приводит к эмбриональной резорбции, мумификации, абортам или мертворождению. Кроме того, инфекция плодов в перинатальном периоде может вызывать разрушение зародышевого эпителия мозжечка, вызывая его гипоплазию, раскоординацию движений, тремор конечностей.
Колостральный иммунитет у рождённых от переболевших / вакцинированных матерей сохраняется до 5-6 недель.
Стресс, начало прикорма (является следствием уменьшения поступления иммуноглобулинов с молоком матери, в связи со снижением объёма его потребления), скудный рацион ведут к снижению колострального иммунитета и повышению воcприимчивости к вирусу.
Сопутствующие заболевания: заражение гельминтами, кишечные инфекции (патогены: клостридии, кампилобактерии, сальмонелла, гиардии, коронавирус) – ухудшают течение заболевания.
Особенности CPV: неразвязанные кобели более восприимчивы к вирусу, чем неразвязанные суки (для щенков старше 6 мес.) [16].
Клинические признаки и методы диагностики
Острый энтерит, вызванный CPV-2, может наблюдаться у собак любой породы, возраста и пола, но щенки в возрасте от 6 недель до 6 месяцев, по-видимому, более восприимчивы. Щенки пород: ротвейлеры, доберман-пинчеры, американские питбультерьеры, английские спрингер-спаниели, немецкие овчарки, по-видимому, находятся в группе наибольшего риска (рис. 3).
Средний период течения болезни (манифестный период) – 7–10 дней, после чего наступает выздоровление. Смерть, если таковой исход, как правило, наступает на 2-3 сутки.
Выживаемость особей при заболевании составляет 68–92 %.
Первые клинические признаки заболевания, вызванные CPV, проявляются, как правило, на 5–7 день после инфицирования – манифестный период, однако этот интервал может расшириться до 2–14 дней. Первоначальные признаки могут быть неспецифичны: летаргия, анорексия, лихорадка.
В дальнейшем в течение 24–48 часов они прогрессируют в рвоту и геморрагическую тонкокишечную диарею.
Средний период течения болезни (манифестный период) – 7–10 дней, после чего наступает выздоровление. Смерть, если таковой исход, как правило, наступает на 2-3 сутки.
Выживаемость особей при заболевании составляет 68–92 %.
Первые клинические признаки заболевания, вызванные CPV, проявляются, как правило, на 5–7 день после инфицирования – манифестный период, однако этот интервал может расшириться до 2–14 дней. Первоначальные признаки могут быть неспецифичны: летаргия, анорексия, лихорадка.
В дальнейшем в течение 24–48 часов они прогрессируют в рвоту и геморрагическую тонкокишечную диарею.
Рис. 3. Клинические признаки парвовирусного энтерита собак
При осмотре выявляются: депрессия, расширение и заполнение петель тощей кишки жидкостью, инвагинация, абдоминальные боли. У значительно поражённых щенков: дегидратация, коллапсирующие капилляры со сниженной скоростью наполнения, пульс низкого качества, тахикардия, гипотермия – признаки септического шока.
ЦНС-признаки в результате гипогликемии, сепсиса и (или) нарушения кислотно-основного равновесия, нарушения электролитного баланса. Субклиническое течение крайне редко [17–19].
Первые клинические признаки заболевания, вызванные FPV, проявляются на 2–7 день после инфицирования – манифестный период. Первые признаки: лихорадка до 41,7 °С, рвота желчью вне зависимости от приёма пищи развивается на 1-2-й день после лихорадки. Диарея начинается позднее.
Экстремальная дегидратация развивается крайне быстро, заражённые котята могут часами сидеть у миски с водой и практически не пить её. На терминальных стадиях развивается гипотермия, септический шок и ДВС.
При осмотре выявляются: глубокая депрессия, дегидратация и иногда абдоминальные боли. При пальпации органов брюшной полости, часто вызывающей рвоту, выявляются утолщение стенок петель кишечника, увеличение мезентеральных лимфатических узлов. В случаях мозжечковой гипоплазии: атаксия, тремор.
При наличии поражения сетчатки глаз, они проявляются дискретными серыми вкраплениями [5, 11, 16].
ЦНС-признаки в результате гипогликемии, сепсиса и (или) нарушения кислотно-основного равновесия, нарушения электролитного баланса. Субклиническое течение крайне редко [17–19].
Первые клинические признаки заболевания, вызванные FPV, проявляются на 2–7 день после инфицирования – манифестный период. Первые признаки: лихорадка до 41,7 °С, рвота желчью вне зависимости от приёма пищи развивается на 1-2-й день после лихорадки. Диарея начинается позднее.
Экстремальная дегидратация развивается крайне быстро, заражённые котята могут часами сидеть у миски с водой и практически не пить её. На терминальных стадиях развивается гипотермия, септический шок и ДВС.
При осмотре выявляются: глубокая депрессия, дегидратация и иногда абдоминальные боли. При пальпации органов брюшной полости, часто вызывающей рвоту, выявляются утолщение стенок петель кишечника, увеличение мезентеральных лимфатических узлов. В случаях мозжечковой гипоплазии: атаксия, тремор.
При наличии поражения сетчатки глаз, они проявляются дискретными серыми вкраплениями [5, 11, 16].
Методы лабораторной диагностики включают:
- Молекулярный: Полимеразно-цепная реакция (ПЦР). Исследуемый материал – соскоб эпителиальных клеток прямой кишки или непосредственно фекалий
- Серологический: тестирование плазмы или сыворотки крови на Ag к CPV
Тестирование фекалий на Ag к CPV с использованием коммерческих количественных тестов (рис. 4).
Рис. 4. Титры Ag в днях после инфицирования (эффективность и показательность теста на Ag)
Основные поражения органов
CPV:
Утолщение стенок кишечника и его побледнение; водянистое, слизистое или геморрагическое содержимое кишечника; отёк и застой в лимфатических узлах брюшной и грудной полостей; атрофия тимуса; миокардит; мультифокальный некроз крипт тощей кишки, утрата архитектуры крипт, утрата ворсинок кишечника; истощение лимфоидной ткани и кортикальных лимфоцитов – пиеровых бляшек, периферических и мезентеральных лимфатических узлов, тимуса, селезенки; гипоплазия костного мозга; отёк лёгких, альвеолит; бактериальная колонизация лёгких и печени; ОРДС (ARDS); синдром системно воспалительного ответа (SIRS); эндотоксемия; септицемия; сепсис [20, 21, 22].
FPV:
Расширение и утолщение, гиперемирование стенок петель тощей кишки; петехии и/или эхимозы серозных оболочек кишечника; у перинатально инфицированных пациентов – гипоплазия мозжечка; расширение крипт тощей кишки, с заполнением обломками некротизированного эпителия; утрата ворсинок кишечника; эозинофиьные включения ядер эпителия кишечника [5, 15, 16].
CPV:
Утолщение стенок кишечника и его побледнение; водянистое, слизистое или геморрагическое содержимое кишечника; отёк и застой в лимфатических узлах брюшной и грудной полостей; атрофия тимуса; миокардит; мультифокальный некроз крипт тощей кишки, утрата архитектуры крипт, утрата ворсинок кишечника; истощение лимфоидной ткани и кортикальных лимфоцитов – пиеровых бляшек, периферических и мезентеральных лимфатических узлов, тимуса, селезенки; гипоплазия костного мозга; отёк лёгких, альвеолит; бактериальная колонизация лёгких и печени; ОРДС (ARDS); синдром системно воспалительного ответа (SIRS); эндотоксемия; септицемия; сепсис [20, 21, 22].
FPV:
Расширение и утолщение, гиперемирование стенок петель тощей кишки; петехии и/или эхимозы серозных оболочек кишечника; у перинатально инфицированных пациентов – гипоплазия мозжечка; расширение крипт тощей кишки, с заполнением обломками некротизированного эпителия; утрата ворсинок кишечника; эозинофиьные включения ядер эпителия кишечника [5, 15, 16].
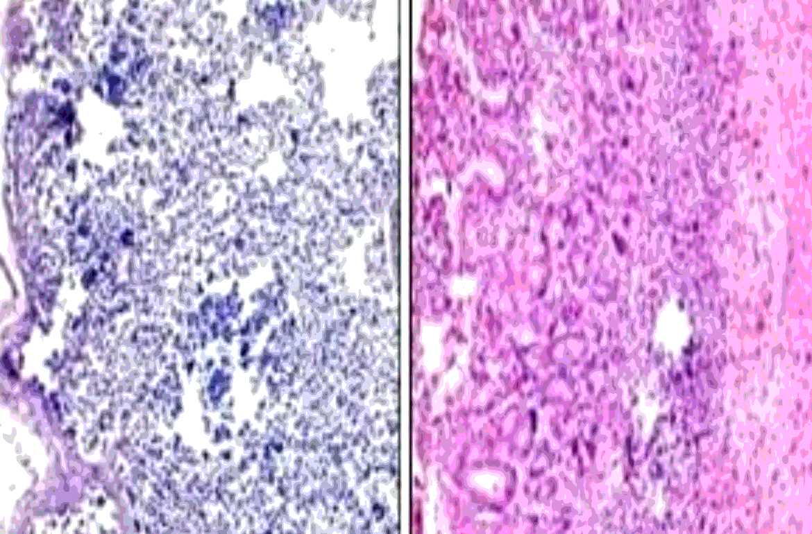
Патоморфологические признаки энтерита. Макро- и микропрепараты.
По патоморфологии макро- и микропрепаратов животных (собак и кошек) (рис. 5), погибших от парвовирусного энтерита, что основными органами с наибольшим поражением вследствие данного заболевания, являются:
- тощая кишка
- подвздошная кишка
- лимфатические узлы брыжейки ки-
- шечника
- лимфатические узлы грудной полости
- тимус
- лёгочная ткань
- миокард
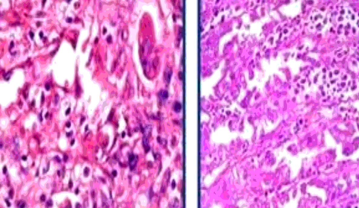
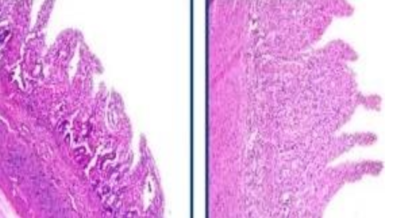
Рис. 5. Макро- и микропрепараты: А – тонкий отдел; B – толстый отдел; C – коллапс собственной пластинки кишечника, слияние ворсинок, атрофия и исчезновение крипт, а также расширение остальных крипт; D – тонкий кишечник с окрашиванием энтероцитов, преимущественно крипт; E – лимфатический узел с иммуноокрашиванием в лимфоцитах фолликулярных центров; F – костный мозг с окрашиванием в несколько клеток
Изготовленные микропрепараты органов погибших животных выявляют существенные поражения клеток поражённых органов, включая энтеропатии, миокардит, лимфопатии, атрофические изменения тимуса, альвеолиты и другие поражения (рис. 6, 7) [23, 24, 25].
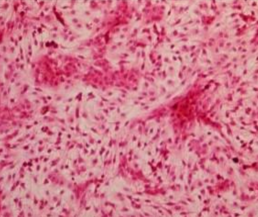
Изоляция вируса на культуре клеток почек кошек и собак. Морфологические изменения, вызываемые вирусом (рис. 8, 9, 10) [26].
Пассаж характеризуется округлением, агрегацией и незначительной отслойкой клеток.
Морфологические изменения, наблюдаемые в процессе адаптации в клеточных линиях, выраженные в цитопатическом эффекте, наблюдались после 72 ч. после заражения, тогда как заметное округление и агрегация клеток заметны уже через 48 ч. При этом скорость изменений выше на клеточных культурах почек собак, в сравнении с таковыми у кошек.
Изоляция вируса на культуре клеток почек кошек и собак. Морфологические изменения, вызываемые вирусом (рис. 8, 9, 10) [26].
Пассаж характеризуется округлением, агрегацией и незначительной отслойкой клеток.
Морфологические изменения, наблюдаемые в процессе адаптации в клеточных линиях, выраженные в цитопатическом эффекте, наблюдались после 72 ч. после заражения, тогда как заметное округление и агрегация клеток заметны уже через 48 ч. При этом скорость изменений выше на клеточных культурах почек собак, в сравнении с таковыми у кошек.
Рис. 6. Макропрепарат сердца, погибшего от сверхострого (от манифестации симптомов до гибели животного – менее 12 часов) течения заболевания четырёхмесячного щенка, обнаруживающего острый миокардит (препарат изготовле
Рис. 7. Макропрепарат сердца с участком миокардита (пример взят из учебной литературы).
Гистопатологические исследования выявили характерные черты CPV. Микроскопические поражения были более заметными в кишечнике для всех возрастных групп, а поражения миокарда были замечены только у щенков, а не у взрослых собак (рис. 11, 12, 13, 14, 15, 16, 17) [24, 25, 26].
Рис. 8. Пассаж клеток, пятая линия
Рис. 9. 48 часов спустя
Рис. 10. 72 часа спустя. Полная отслойка
Рис. 11. Кровоизлияния (геморрагии) в ворсинках тощей кишки (собака, H&E, ×100)
Рис. 12. Атрофия ворсинок тощей кишки (собака, H&E, ×100)
Рис. 13. Некроз эпителия ворсинок тощей кишки и гиперплазия бокаловидных клеток (собака, H&E, ×400)
Рис. 14. Образование синцитиев и инфильтрация мононуклеарными клетками в кишечнике (собака, H&E, ×400)
Рис. 15. Лимфоидное истощение в мезентериальных узлах и пейеровых бляшках (собака, H&E, ×40)
Рис. 16. Сердце щенка с некрозом волокон сердечной мышцы и воспалительной клеточной инфильтрацией (H&E, ×400)
Рис. 17. Сердце щенка с инфильтрацией полиморфными формами и небольшим количеством мононуклеарных клеток и кровоизлияниями между волокнами сердечной мышцы (H&E, ×400)
Рис. 18. Взаимопротивопоставление уровней холестерола (А) и триглицеридов (В) уровням фактора некроза опухоли (TNF-α) (кровь отобрана у больных парвовирусным энтеритом щенков (n=300); Serum triglyceride level – Уровень триглицеридов в сыворотке крови; Serum total cholesterol level – Уровень общего холестерина в сыворотке крови; Serum TNF-α level – Уровень TNF-α в сыворотке крови)
Перспективные направления исследований
В настоящее время проводятся проверки различных гипотез для разработки прогностических концептов выживаемости поражённых вирусом животных, опираясь на различные витальные показатели пациентов [27–36]. Ниже представлены взаимосвязи, выявленные в ретроспективных исследованиях на большой выборке пациентов за последние 15 лет.
Профилактика
Только своевременная вакцинация является действенным инструментом предотвращения заболевания [37–41]. Хотя вакцинация и не даёт 100 % гарантии от заражения, иммунизированные животные, если заболевают, существенно легче переносят инфекцию. Для вакцинирования котят и щенков рекомендуется использование протоколов вакцинации WSAVA.
Библиографический список:
Quinn P. J. Veterinary Microbiology and Microbial Disease / P. J. Quinn, B. K. Markey, F. C. Leonard, P. Hartigan [et al.] // 2nd edition: учебник для университетов: [для студ. учреждений высш. проф. образования]: издательство Wiley-Blackwell, 2011 – 911 c.: ил. цветные; ISBN-13: 978-1405158237. – Текст: непосредственный (англ. яз.).
2. Fenner's Veterinary Virology, 5th edition / рецензенты N. James Maclachlan, Edward J. Dubovi // издательство «Elsevier», 2010 – 602 с.: ил. – ISBN 9780128009468. – Текст: непосредственный (англ. яз.).
3. Ian R. Tizard BVMS PhD ACVM ScD: Veterinary Immunology, 9th edition: издательство «Saunders», 2012 – 568 с.: ил. – ISBN-13: 978-1455703623. – Текст: непосредственный (англ. яз.).
4. Goddard A. Canine parvovirus / A. Goddard, A. L. Leisewitz // Vet. Clin. Small Anim. 40 (2010) 1041-1053.
5. Di Profio F. Feline chaphamaparvovirus in cats with enteritis and upper respiratory tract disease / F. Di Profio, V. Sarchese, A. Palombieri, P. Fruci [et al.] // Transboundary and Emerging Diseases. 2021.
6. Vannamahahay S. Update on canine parvovirus: molecular and genomic aspects, with emphasis on genetic variants affiliated the canine host / S. Vannamahahay, P. Chuammitri // Kafkas Universitesi Veteriner Fakultesi Dergisi. – 2017. – T. 23. – № 5. – S. 847–856.
7. Miranda C. Canine parvovirus: the worldwide occurrence of antigenic variants / C. Miranda, G. Thompson // Journal of General Virology. 2016; 97(9):2043-2057.
8. Fagbohun O. A. Pathology and molecular diagnosis of canine parvoviral enteritis in Nigeria (case report) / O. A. Fagbohun, R. D. Adesina, T. A. Jarikre, O. O. Alaka [et al.] // Comparative Clinical Pathology. – 2020. – Т. 29. – № 4. – С. 887–893.
9. Zhao J. Isolation and genetic characterization of parvoviruses from dogs, cats, minks, and raccoon dogs in the eastern region of shandong province, china. Frontiers in Microbiology / J. Zhao, H. Zhang, L. Zhang, Q. Zhang [et al.] // – 2022. – V. 13. – С. 862352.
10. Nguyen Manh T. Molecular and phylogenetic analysis of vietnamese canine parvovirus 2c originated from dogs reveals a new Asia-IV clade / T. Nguyen Manh, C. Piewbang, S. Techangamsuwan, A. Rungsipipat // Transboundary and Emerging Diseases. – 2020.
11. Yang D.-K. Isolation and molecular characterization of feline panleukopenia viruses from Korean cats / D.-K. Yang, Y.-R. Park, S. An, S.-S. Choi [et al.] Korean Journal of Veterinary Research. – 2022. – V. 62. – N. 1. – P. e10.
12. Sharma S. First detection of canine parvovirus type 2b from diarrheic dogs in Himachal Pradesh / S. Sharma, P. Dhar, A. Thakur, V. Sharma, M. Sharma [et al.] // Veterinary World. – 2016; 9:964.
13. Wang S.-L. Fatal canine parvovirus-2 (CPV-2) infection in a rescued free-ranging taiwanese pangolin (manis pentadactyla pentadactyla) / S.-L. Wang, L.-H. Wu, T.-Y. Chen, E.H.-S. Tsao [et al.] // Transborder and Emerging Diseases. – 2020. – Vol. 67. – No. 3. – P. 1074–1081.
14. Temeeyasen G. Spillover of canine parvovirus type 2 to pigs, South Dakota, USA, 2020 / G. Temeeyasen, T. A. Sharafeldin, C.-M. Lin, B. M. Hause // Emerging Infectious Diseases. – 2022. – Т. 28. – № 2. – С. 471–473.
15. The Merk veterinary manual: eleventh edition. – 2018. – 30 (4) – pp. 373–798.
16. Parrish C. R. Pathogenesis of feline panleukopenia virus and canine parvovirus / C. R. Ballière’s // Clinical Haematology.1995; 8(1):57-71.
17. Agungpriyono D. R. Subacute massive necrotizing myocarditis by canine parvovirus type 2 infection with diffuse leukoencephalomalacia in a puppy / D. R. Agungpriyono, K. Uchida, H. Tabaru, R. Yamaguchi, S. Tateyama [et al.] // Veterinary pathology. 1999; 36(1):77-80.
18. Carpenter J. L. Intestinal and cardiopulmonary forms of parvovirus infection in a litter of pups / J. L. Carpenter, R. M. Roberts, N. K. Harpster, N. W. King // J. Amer. Vet. Med. Assoc. 1980; 176: 1269-1273.
19. Hayes M. A. Sudden death in young dogs with myocarditis caused by parvovirus / M. A. Hayes, R.G. Russell, L. A. Babiuk // JAVMA. 1979; 174: 1197-1203.
20. Singh B. Dyce. Sack and Wensing’s textbook of veterinary anatomy – 5th edition: учебник для университетов: [для студ. учреждений высш. проф. образования] / рецензенты: Judy Klimek, DVM, MS (Kansas State University College of Veterinary Medicine); Gillian Muir, DVM, PhD (Western College of Veterinary Medicine, University of Saskatchewan, Canada); Emily J. Reppert, DVM, MS, DACVIM (Kansas State University College of Veterinary Medicine); St. Luis, Messury: издательство «Elsevier», 2018 – 854 с.: ил.; – ISBN 978-0-323442640. – Текст: непосредственный (англ. яз.).
21. Aspinall B. Introduction to Veterinary Anatomy and Physiology / B. Aspinall, M. Cappello // – 3rd edition: учебник для колледжей: [для студ. учреждений сред. проф. образования] / рецензент: Catherine Phillips, RVN REVN CertEd PGDip FHEA (Hartpury College of Veterinary Nursing, Glouchester, UK); Edinburg, UK: издательство «Elsevier», 2015 – 275 с.: ил.; – ISBN 978-0-7020-5735-9. – Текст: непосредственный (англ. яз.).
22. Lisova V. Pathomorphological diagnostics of enteritis of viral etiology in dogs / V. Lisova, N. Radsikhovskii // Науковий вісник Львівського національного університету ветеринарної медицини табіотехнологій імені С. З. Ґжицького. – 2018. – Т. 20. – № 83. – С. 299–303.
23. Luna L. G. Manual of Histological Staining Methods of Armed Forces Institute of Pathology, 3rd edn. McGrawHill, New York, NY, 1968.
24. Goralski I. L. Microscopic construction of the heart and organs of immunogenesis of dogs in the experimental reproduction of parvoviridea / I. L. Goralski, N. Radzikhovskii, O. Dyshkant // Наукові горизонти. – 2019. – No. 6. – P. 9–14.
25. Горальский Л. П. Патоморфология некоторых органов иммуногенеза при экспериментальном воспроизведении парвовирусной инфекции у собак / Л. П. Горальский, Н. Л. Радзиховский, И. Н. Сокольский, О. В. Дышкант // Ветеринарный журнал Беларуси. – 2020. – № 2 (13). – С. 8–11.
26. Vural S. A. Histopathological and immune histological findings in canine parvoviral infection: diagnosis application / S. A. Vural, G. Alcigir // Revue Méd. Vét. 2011; 162(2):59-64.
27. Радзиховский М. Л. Морфологічні та біохімічні показники крові собак, уражених парвовірусним ентеритом / М. Л. Радзиховский, О. В. Дишкант, А. В. Розумнюк // Ветеринарна біотехнологія. – 2016. – № 29 (29). – С. 226–232.
28. Velikanov V. I. Biochemical and hematological parameters of blood of dogs in the acute form of parvoviral enteritis under the action of the drug "Аzoxivet" / V. I. Velikanov, E. A. Elizarova, A. R. Elizarova, S. S. Terentev, A. V. Klyapnev // European Journal of Biomedical and Life Sciences. – 2017. – № 2. – С. 15–19.
29. Dinler Ay. C. Serum intestinal fatty acid-binding protein and calprotectin concentrations to assess clinical severity and prognosis of canine parvovirus enteritis / Ay. C. Dinler, G. E. Tune, B. Ulutas, H. Voyvoda, G. S. Ekran Ascii // Kafkas Universitesi Veteriner Fakultesi Dergisi. – 2022. – Vol. 28. – No. 1. – P. 105–114.
30. Yilmaz Z. Characterisation of lipid profiles in dogs with parvoviral enteritis / Z. Yilmaz, S. Senturk // Journal of Small Animal Practice. – 2007. – V. 48. – N. 11. – P. 643–650.
31. Gulersoy E. Assessment of intestinal and cardiacrelated biomarkers in dogs with parvoviral enteritis / E. Gulersoy, M. Ok, E. Koral, M. Ider [et al.] // Polish Journal of Veterinary Sciences. – 2020. – V. 23. – N 2. – P. 211–219.
32. Nandi S. Molecular characterization of canine parvovirus mutation by polymerase chain reaction and restriction endonuclease analysis / S. Nandi, S. Anbazhagan Chidri, R. S. Chauhan [et al.] // Indian Journal of Virology. 2009; 20(1):12-15.
33. Schmitz S. Comparison of three rapid commercial canine parvovirus antigen detection tests with electron microscopy and polymerase chain reaction / S. Schmitz, C. Coenen, M. Konig, H. J. Thiel, R. Neiger // J. Vet. Diagn. Invest. 2009; 21: 344-345.
34. Esfandiari J. A comparative study of a new rapid and one-step test for the detection of parvovirus in faeces from dogs, cats and mink / J. Esfandiari, B. Klingeborn // Journal of Veterinary Medicine, Series B. – 2000. – Т. 47. – № 2. – С. 145–153.
35. Sharma C. Development and evaluation of a gold nanoparticles-based immunochromatographic strip test for the detection of canine parvovirus / C. Sharma, M. Singh, S. Verma, J. Kumar, T. K. Goswami [et al.] // Archives of Virology. – 2018. – Vol. 163. – N 9. – P. 2359–2368.
36. Петруша О. А. Новый метод молекулярной диагностики парвовирусного энтерита у плотоядных / О. А. Петруша, Т. Л. Черниченко, Е. Б. Файзулоев // Кролиководство и звероводство. – 2019. – №2. – С. 3–5.
37. Decaro N. Evidence for immunisation failure in vaccinated adult dogs infected with canine parvovirus type 2c / N. Decaro, C. Desario, G. Elia, V. Martell [et al.] // New Microbiol. 2008; 31: 125-130.
38. Martin V. Treatment of canine parvoviral enteritis with interferon-omega in a placebo-controlled challenge trial / V. Martin, W. Najbar, S. Gueguen, D. Grousson [et al.] // Veterinary Microbiology. – 2002. – V. 89. – N. 2-3. – P. 115–127.
39. Scott F. W. Vircucidal disinfectants and feline viruses / F. W. Scott // Amer. J. Vet. Res. 1980; 41: 410-414.
40. Ignacio J. C. Peptide vaccine against canine parvovirus: Identification of two neutralization subsites in the N terminus of VP2 and optimization of the amino acid sequence / J. C. Ignacio, J. P. M. Langeveld, C. S. Elena, W. W. M. Schaaper [et al.] // J. Virol. 1995; 69: 7274-7277.
41. Derman S. Synthesis and characterization of canine parvovirus (CPV) VP2 W-7L-20 synthetic peptide for synthetic vaccine / S. Derman, Z. Mustafaeva, K. Kizilbey, B. Mansuroglu // Fresenius Environmental Bulletin. – 2014. – Т. 23. – № 2A. – С. 558–566.
2. Fenner's Veterinary Virology, 5th edition / рецензенты N. James Maclachlan, Edward J. Dubovi // издательство «Elsevier», 2010 – 602 с.: ил. – ISBN 9780128009468. – Текст: непосредственный (англ. яз.).
3. Ian R. Tizard BVMS PhD ACVM ScD: Veterinary Immunology, 9th edition: издательство «Saunders», 2012 – 568 с.: ил. – ISBN-13: 978-1455703623. – Текст: непосредственный (англ. яз.).
4. Goddard A. Canine parvovirus / A. Goddard, A. L. Leisewitz // Vet. Clin. Small Anim. 40 (2010) 1041-1053.
5. Di Profio F. Feline chaphamaparvovirus in cats with enteritis and upper respiratory tract disease / F. Di Profio, V. Sarchese, A. Palombieri, P. Fruci [et al.] // Transboundary and Emerging Diseases. 2021.
6. Vannamahahay S. Update on canine parvovirus: molecular and genomic aspects, with emphasis on genetic variants affiliated the canine host / S. Vannamahahay, P. Chuammitri // Kafkas Universitesi Veteriner Fakultesi Dergisi. – 2017. – T. 23. – № 5. – S. 847–856.
7. Miranda C. Canine parvovirus: the worldwide occurrence of antigenic variants / C. Miranda, G. Thompson // Journal of General Virology. 2016; 97(9):2043-2057.
8. Fagbohun O. A. Pathology and molecular diagnosis of canine parvoviral enteritis in Nigeria (case report) / O. A. Fagbohun, R. D. Adesina, T. A. Jarikre, O. O. Alaka [et al.] // Comparative Clinical Pathology. – 2020. – Т. 29. – № 4. – С. 887–893.
9. Zhao J. Isolation and genetic characterization of parvoviruses from dogs, cats, minks, and raccoon dogs in the eastern region of shandong province, china. Frontiers in Microbiology / J. Zhao, H. Zhang, L. Zhang, Q. Zhang [et al.] // – 2022. – V. 13. – С. 862352.
10. Nguyen Manh T. Molecular and phylogenetic analysis of vietnamese canine parvovirus 2c originated from dogs reveals a new Asia-IV clade / T. Nguyen Manh, C. Piewbang, S. Techangamsuwan, A. Rungsipipat // Transboundary and Emerging Diseases. – 2020.
11. Yang D.-K. Isolation and molecular characterization of feline panleukopenia viruses from Korean cats / D.-K. Yang, Y.-R. Park, S. An, S.-S. Choi [et al.] Korean Journal of Veterinary Research. – 2022. – V. 62. – N. 1. – P. e10.
12. Sharma S. First detection of canine parvovirus type 2b from diarrheic dogs in Himachal Pradesh / S. Sharma, P. Dhar, A. Thakur, V. Sharma, M. Sharma [et al.] // Veterinary World. – 2016; 9:964.
13. Wang S.-L. Fatal canine parvovirus-2 (CPV-2) infection in a rescued free-ranging taiwanese pangolin (manis pentadactyla pentadactyla) / S.-L. Wang, L.-H. Wu, T.-Y. Chen, E.H.-S. Tsao [et al.] // Transborder and Emerging Diseases. – 2020. – Vol. 67. – No. 3. – P. 1074–1081.
14. Temeeyasen G. Spillover of canine parvovirus type 2 to pigs, South Dakota, USA, 2020 / G. Temeeyasen, T. A. Sharafeldin, C.-M. Lin, B. M. Hause // Emerging Infectious Diseases. – 2022. – Т. 28. – № 2. – С. 471–473.
15. The Merk veterinary manual: eleventh edition. – 2018. – 30 (4) – pp. 373–798.
16. Parrish C. R. Pathogenesis of feline panleukopenia virus and canine parvovirus / C. R. Ballière’s // Clinical Haematology.1995; 8(1):57-71.
17. Agungpriyono D. R. Subacute massive necrotizing myocarditis by canine parvovirus type 2 infection with diffuse leukoencephalomalacia in a puppy / D. R. Agungpriyono, K. Uchida, H. Tabaru, R. Yamaguchi, S. Tateyama [et al.] // Veterinary pathology. 1999; 36(1):77-80.
18. Carpenter J. L. Intestinal and cardiopulmonary forms of parvovirus infection in a litter of pups / J. L. Carpenter, R. M. Roberts, N. K. Harpster, N. W. King // J. Amer. Vet. Med. Assoc. 1980; 176: 1269-1273.
19. Hayes M. A. Sudden death in young dogs with myocarditis caused by parvovirus / M. A. Hayes, R.G. Russell, L. A. Babiuk // JAVMA. 1979; 174: 1197-1203.
20. Singh B. Dyce. Sack and Wensing’s textbook of veterinary anatomy – 5th edition: учебник для университетов: [для студ. учреждений высш. проф. образования] / рецензенты: Judy Klimek, DVM, MS (Kansas State University College of Veterinary Medicine); Gillian Muir, DVM, PhD (Western College of Veterinary Medicine, University of Saskatchewan, Canada); Emily J. Reppert, DVM, MS, DACVIM (Kansas State University College of Veterinary Medicine); St. Luis, Messury: издательство «Elsevier», 2018 – 854 с.: ил.; – ISBN 978-0-323442640. – Текст: непосредственный (англ. яз.).
21. Aspinall B. Introduction to Veterinary Anatomy and Physiology / B. Aspinall, M. Cappello // – 3rd edition: учебник для колледжей: [для студ. учреждений сред. проф. образования] / рецензент: Catherine Phillips, RVN REVN CertEd PGDip FHEA (Hartpury College of Veterinary Nursing, Glouchester, UK); Edinburg, UK: издательство «Elsevier», 2015 – 275 с.: ил.; – ISBN 978-0-7020-5735-9. – Текст: непосредственный (англ. яз.).
22. Lisova V. Pathomorphological diagnostics of enteritis of viral etiology in dogs / V. Lisova, N. Radsikhovskii // Науковий вісник Львівського національного університету ветеринарної медицини табіотехнологій імені С. З. Ґжицького. – 2018. – Т. 20. – № 83. – С. 299–303.
23. Luna L. G. Manual of Histological Staining Methods of Armed Forces Institute of Pathology, 3rd edn. McGrawHill, New York, NY, 1968.
24. Goralski I. L. Microscopic construction of the heart and organs of immunogenesis of dogs in the experimental reproduction of parvoviridea / I. L. Goralski, N. Radzikhovskii, O. Dyshkant // Наукові горизонти. – 2019. – No. 6. – P. 9–14.
25. Горальский Л. П. Патоморфология некоторых органов иммуногенеза при экспериментальном воспроизведении парвовирусной инфекции у собак / Л. П. Горальский, Н. Л. Радзиховский, И. Н. Сокольский, О. В. Дышкант // Ветеринарный журнал Беларуси. – 2020. – № 2 (13). – С. 8–11.
26. Vural S. A. Histopathological and immune histological findings in canine parvoviral infection: diagnosis application / S. A. Vural, G. Alcigir // Revue Méd. Vét. 2011; 162(2):59-64.
27. Радзиховский М. Л. Морфологічні та біохімічні показники крові собак, уражених парвовірусним ентеритом / М. Л. Радзиховский, О. В. Дишкант, А. В. Розумнюк // Ветеринарна біотехнологія. – 2016. – № 29 (29). – С. 226–232.
28. Velikanov V. I. Biochemical and hematological parameters of blood of dogs in the acute form of parvoviral enteritis under the action of the drug "Аzoxivet" / V. I. Velikanov, E. A. Elizarova, A. R. Elizarova, S. S. Terentev, A. V. Klyapnev // European Journal of Biomedical and Life Sciences. – 2017. – № 2. – С. 15–19.
29. Dinler Ay. C. Serum intestinal fatty acid-binding protein and calprotectin concentrations to assess clinical severity and prognosis of canine parvovirus enteritis / Ay. C. Dinler, G. E. Tune, B. Ulutas, H. Voyvoda, G. S. Ekran Ascii // Kafkas Universitesi Veteriner Fakultesi Dergisi. – 2022. – Vol. 28. – No. 1. – P. 105–114.
30. Yilmaz Z. Characterisation of lipid profiles in dogs with parvoviral enteritis / Z. Yilmaz, S. Senturk // Journal of Small Animal Practice. – 2007. – V. 48. – N. 11. – P. 643–650.
31. Gulersoy E. Assessment of intestinal and cardiacrelated biomarkers in dogs with parvoviral enteritis / E. Gulersoy, M. Ok, E. Koral, M. Ider [et al.] // Polish Journal of Veterinary Sciences. – 2020. – V. 23. – N 2. – P. 211–219.
32. Nandi S. Molecular characterization of canine parvovirus mutation by polymerase chain reaction and restriction endonuclease analysis / S. Nandi, S. Anbazhagan Chidri, R. S. Chauhan [et al.] // Indian Journal of Virology. 2009; 20(1):12-15.
33. Schmitz S. Comparison of three rapid commercial canine parvovirus antigen detection tests with electron microscopy and polymerase chain reaction / S. Schmitz, C. Coenen, M. Konig, H. J. Thiel, R. Neiger // J. Vet. Diagn. Invest. 2009; 21: 344-345.
34. Esfandiari J. A comparative study of a new rapid and one-step test for the detection of parvovirus in faeces from dogs, cats and mink / J. Esfandiari, B. Klingeborn // Journal of Veterinary Medicine, Series B. – 2000. – Т. 47. – № 2. – С. 145–153.
35. Sharma C. Development and evaluation of a gold nanoparticles-based immunochromatographic strip test for the detection of canine parvovirus / C. Sharma, M. Singh, S. Verma, J. Kumar, T. K. Goswami [et al.] // Archives of Virology. – 2018. – Vol. 163. – N 9. – P. 2359–2368.
36. Петруша О. А. Новый метод молекулярной диагностики парвовирусного энтерита у плотоядных / О. А. Петруша, Т. Л. Черниченко, Е. Б. Файзулоев // Кролиководство и звероводство. – 2019. – №2. – С. 3–5.
37. Decaro N. Evidence for immunisation failure in vaccinated adult dogs infected with canine parvovirus type 2c / N. Decaro, C. Desario, G. Elia, V. Martell [et al.] // New Microbiol. 2008; 31: 125-130.
38. Martin V. Treatment of canine parvoviral enteritis with interferon-omega in a placebo-controlled challenge trial / V. Martin, W. Najbar, S. Gueguen, D. Grousson [et al.] // Veterinary Microbiology. – 2002. – V. 89. – N. 2-3. – P. 115–127.
39. Scott F. W. Vircucidal disinfectants and feline viruses / F. W. Scott // Amer. J. Vet. Res. 1980; 41: 410-414.
40. Ignacio J. C. Peptide vaccine against canine parvovirus: Identification of two neutralization subsites in the N terminus of VP2 and optimization of the amino acid sequence / J. C. Ignacio, J. P. M. Langeveld, C. S. Elena, W. W. M. Schaaper [et al.] // J. Virol. 1995; 69: 7274-7277.
41. Derman S. Synthesis and characterization of canine parvovirus (CPV) VP2 W-7L-20 synthetic peptide for synthetic vaccine / S. Derman, Z. Mustafaeva, K. Kizilbey, B. Mansuroglu // Fresenius Environmental Bulletin. – 2014. – Т. 23. – № 2A. – С. 558–566.
Сведения об авторе:
Лабазов Игорь Владимирович, студент IV курcа специальности «Ветеринария» факультета «Биоинженерия и ветеринарная медицина» ФГБОУ ВО «Донской государственный технический университет»; д. 1, пл. Гагарина, г. Ростов-на-Дону, Ростовская область, Российская Федерация, 344003
Устьянцев Данил Алексеевич, студент IV курса специальности «Ветеринария» факультета «Биоинженерия и ветеринарная медицина» ФГБОУ ВО «Донской государственный технический университет»; д. 1, пл. Гагарина, г. Ростов-на-Дону, Ростовская область, Российская Федерация, 344003 Махно Елизавета Андреевна, студентка II курса специальности «Ветеринария» факультета «Биоинженерия и ветеринарная медицина» ФГБОУ ВО «Донской государственный технический университет»; д. 1, пл. Гагарина, г. Ростов-на-Дону, Ростовская область, Российская Федерация, 344003
Зеленков Алексей Петрович, доктор сельскохозяйственных наук, доцент кафедры «Биология и общая патология» ФГБОУ ВО «Донской государственный технический университет»; д. 1, пл. Гагарина, г. Ростов-на-Дону, Ростовская область, Российская Федерация, 344003; тел. +7 (951) 832-82-78; e-mail: zelenkovalex@rambler.ru
Зеленкова Галина Александровна, доктор сельскохозяйственных наук, профессор кафедры «Биология и общая патология» ФГБОУ ВО «Донской государственный технический университет»; д. 1, пл. Гагарина, г. Ростов-на-Дону, Ростовская область, Российская Федерация, 344003; тел. +7 (961) 309-62-44
Устьянцев Данил Алексеевич, студент IV курса специальности «Ветеринария» факультета «Биоинженерия и ветеринарная медицина» ФГБОУ ВО «Донской государственный технический университет»; д. 1, пл. Гагарина, г. Ростов-на-Дону, Ростовская область, Российская Федерация, 344003 Махно Елизавета Андреевна, студентка II курса специальности «Ветеринария» факультета «Биоинженерия и ветеринарная медицина» ФГБОУ ВО «Донской государственный технический университет»; д. 1, пл. Гагарина, г. Ростов-на-Дону, Ростовская область, Российская Федерация, 344003
Зеленков Алексей Петрович, доктор сельскохозяйственных наук, доцент кафедры «Биология и общая патология» ФГБОУ ВО «Донской государственный технический университет»; д. 1, пл. Гагарина, г. Ростов-на-Дону, Ростовская область, Российская Федерация, 344003; тел. +7 (951) 832-82-78; e-mail: zelenkovalex@rambler.ru
Зеленкова Галина Александровна, доктор сельскохозяйственных наук, профессор кафедры «Биология и общая патология» ФГБОУ ВО «Донской государственный технический университет»; д. 1, пл. Гагарина, г. Ростов-на-Дону, Ростовская область, Российская Федерация, 344003; тел. +7 (961) 309-62-44
